รีวิว
เจนเทิลพีชขอขอบคุณทุกท่านที่ได้แบ่งปันประสบการณ์ที่ดีกับเรา ความคิดเห็นจากคุณ เป็นกำลังใจสำคัญให้แก่ทีมแพทย์ ตลอดจนพนักงานทุกคน และจะช่วยพัฒนาการบริการของเราให้ดียิ่งขึ้นไป เรามีความภูมิใจที่ได้เป็นส่วนหนึ่งของรอยยิ้มของคุณ
ขูดหินปูน airflow
ขูดหินปูน Airflow
ขูดหินปูน airflow
ผ่าตัดฝังรากฟันเทียม
จัดฟันใส Invisalign
ทันตกรรมเด็ก
ขูดหินปูน airflow
ขูดหินปูน Airflow
ขูดหินปูน airflow
ผ่าตัดฝังรากฟันเทียม
จัดฟันใส Invisalign
ทันตกรรมเด็ก
การทำเคลือบฟันเทียมหรือวีเนียร์ เป็นการติดแผ่นเซรามิกที่มีความบางและใสลงบนบริเวณผิวด้านหน้าของฟัน เพื่อแก้ไขปัญหาความผิดปกติของฟัน สามารถเปลี่ยนฟันที่มีปัญหาให้มีสีและรูปร่างที่สวยงาม รวมทั้งเพิ่มความแข็งแรงให้แก่ฟันที่สึกกร่อนได้อีกด้วย









การจัดฟัน ช่วยแก้ไขการเรียงตัวของฟันที่ผิดปกติ ไม่เป็นระเบียบ เช่น ฟันซ้อนเก ฟันห่าง ฟันไม่สบกัน หรือมีช่องว่างระหว่างฟัน เป็นการรักษาเพื่อให้มีการสบฟันที่ดีขึ้น ทำให้การบดเคี้ยวอาหารมีประสิทธิภาพมากขึ้น นอกจากนั้นยังสามารถช่วยลดปัจจัยเสี่ยงในการเกิดฟันผุ หรือโรคเหงือก อันเนื่องมาจากการเรียงตัวของฟันที่ผิดปกติได้อีกด้วย






รากฟันเทียม คืออุปกรณ์พิเศษรูปร่างคล้ายสกรู ทำจากโลหะไททาเนียม สามารถเชื่อมติดกับกระดูกขากรรไกรได้ดี เป็นการรักษาทดแทนฟันที่หายไป ทำหน้าที่เหมือนรากฟัน รองรับแรงบดเคี้ยว สามารถใช้งานในระยะยาว ดูแลทำความสะอาดง่ายเหมือนฟันแท้
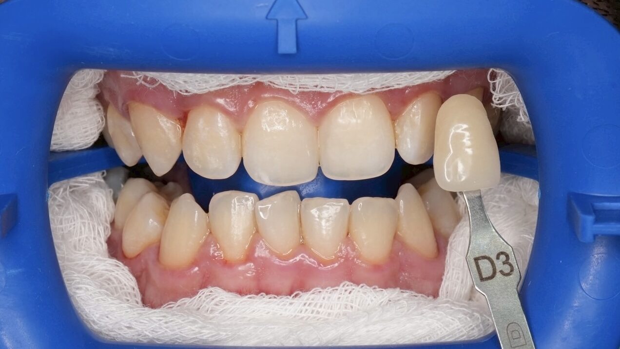
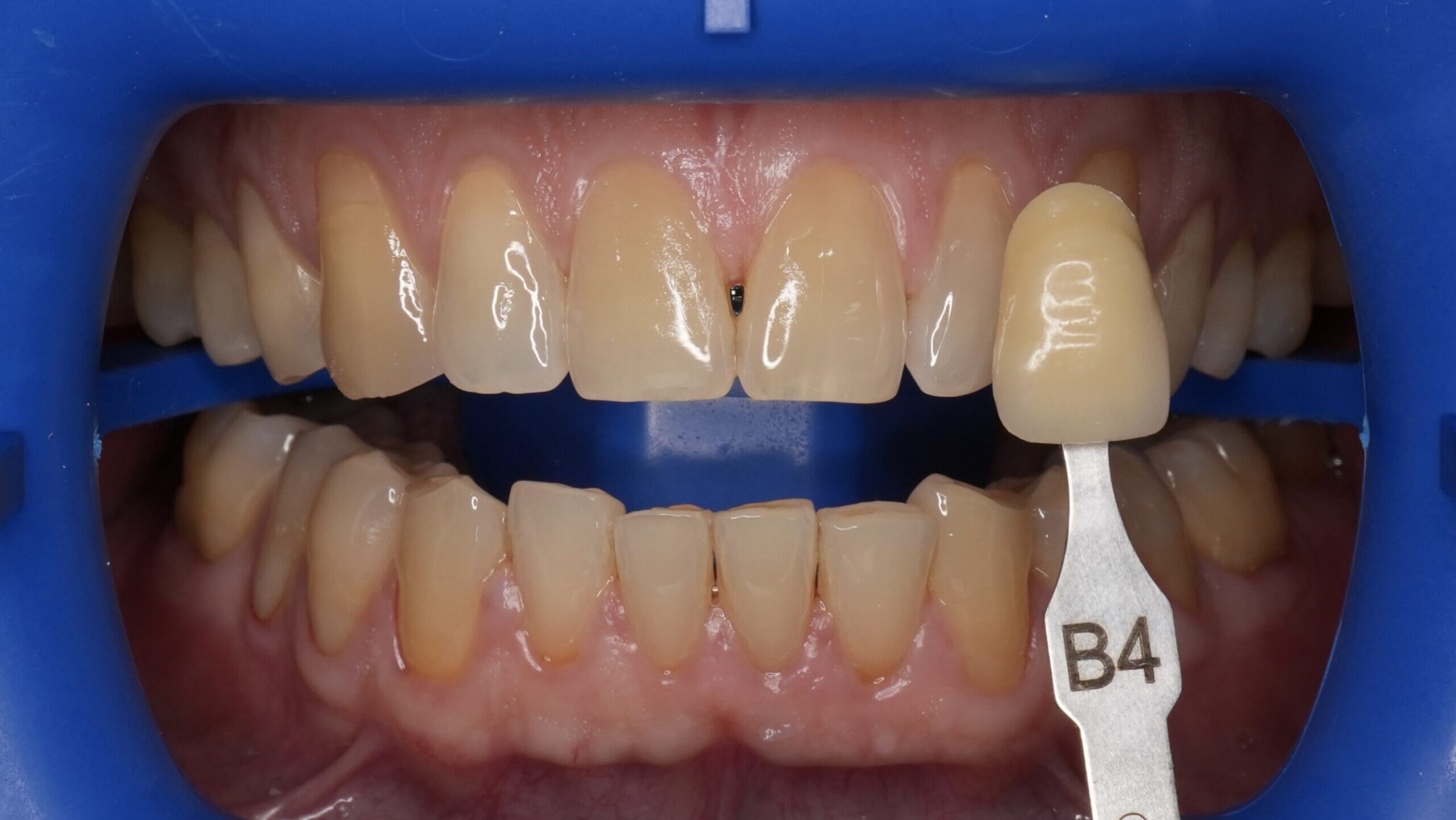
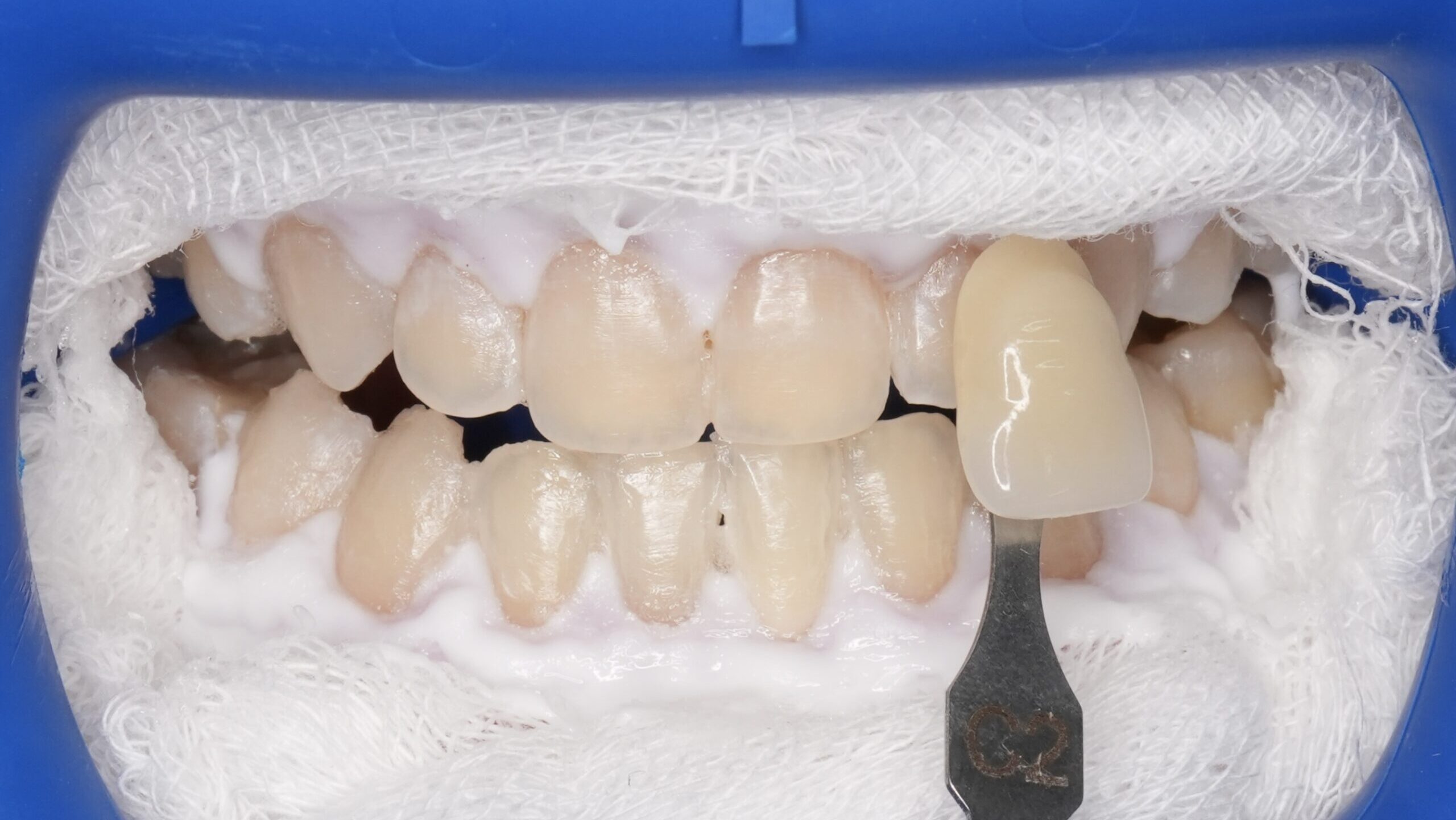
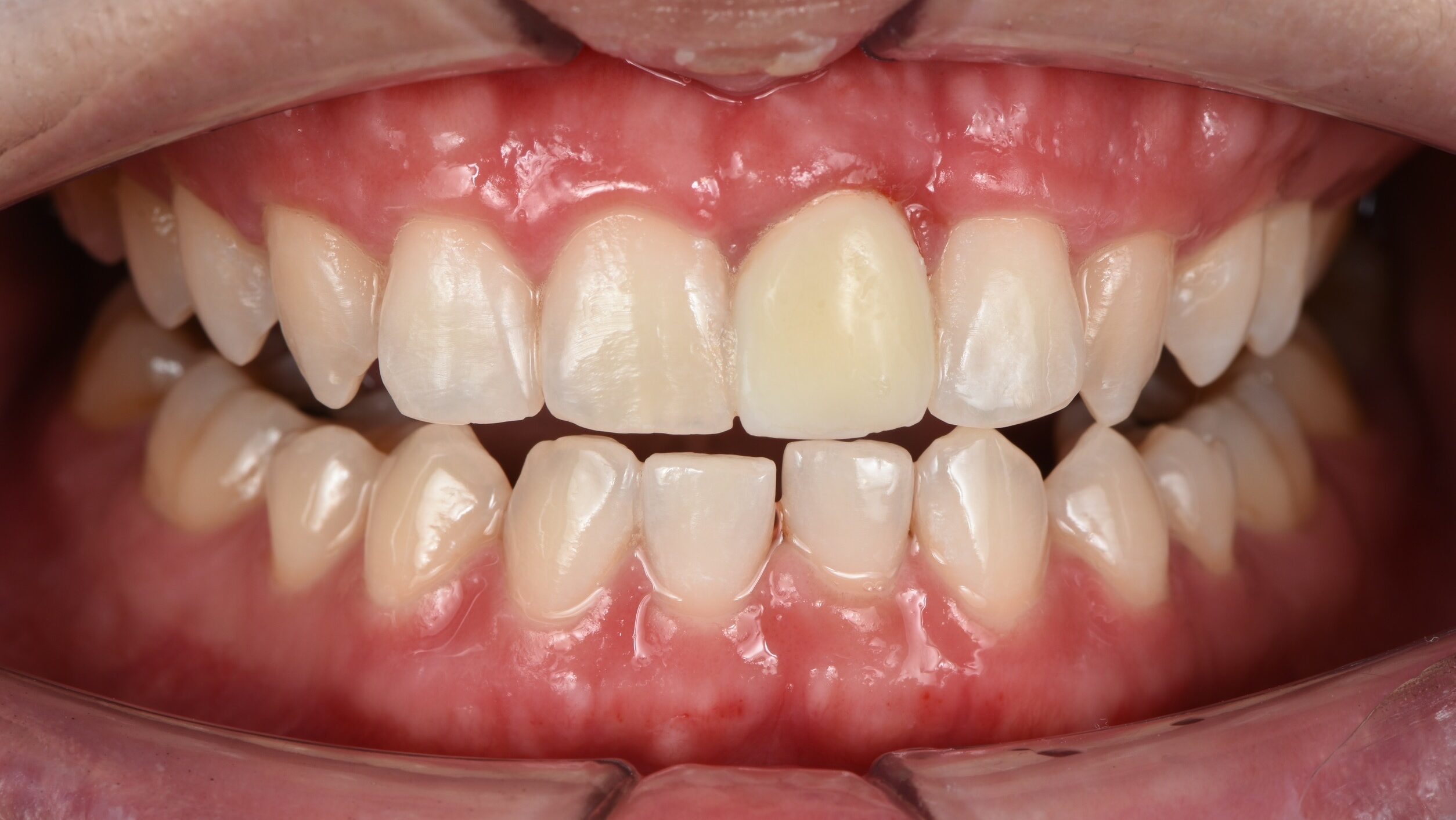
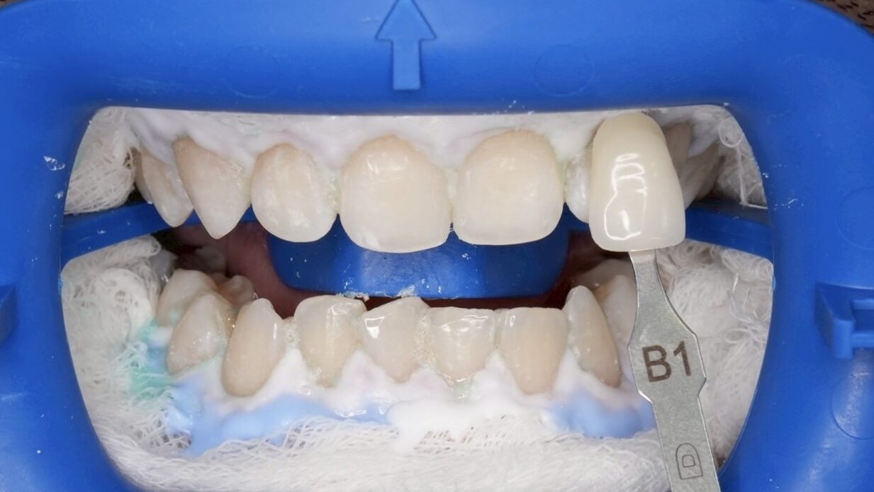
งานทันตกรรมทั่วไป เช่น ฟอกสีฟัน อุดปิดช่องฟันห่าง
ฟอกสีฟัน POLA office



ฟอกสีฟัน ZOOM



อุดปิดช่องฟันห่าง


